Abstract
Introduction
Castleman Disease (CD) is a rare non-clonal benign lymphoproliferative disease.CD can be classified into various subtypes based on etiology, clinical and histological findings. Management of CD varies based on the diagnosis and patient's condition and it can range from surgical excision to more aggressive systemic therapies such as anti-IL-6, steroids, and chemotherapy. It can rarely present with renal involvement, which is poorly understood.
Case Presentation
A 31-year-old male patient with a history of hospital admission one month prior to the present illness for persistent abdominal pain, with an incidental finding of splenomegaly and generalized lymphadenopathy on imaging, was admitted to the hospital for a 2-week history of generalized swelling with associated 20-pound weight gain, poor oral intake, nausea, vomiting, and loose stools.
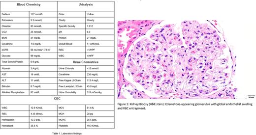
Laboratory work-up (TABLE 1) revealed hyponatremia with sodium of 117 mmol/L and renal failure with a creatinine of 1.6 mg/dL. Urinalysis showed proteinuria of 2+ and 24-hour collection revealed 300 mg of total protein. Heart failure was not noted on echocardiogram and biochemical or imaging findings were not suggestive of liver cirrhosis.
Fluid restriction and diuretics were initiated. The patient improved initially but his hospital course was complicated by worsening renal failure and normochromic, normocytic anemia. Nephrology, Gastroenterology, Pulmonology, and Surgery were consulted. Excisional lymph node biopsy was performed revealing multicentric Castleman's Disease, negative for HHV-8. A kidney biopsy was performed later, consistent with thrombotic microangiopathy (Figure 1). VEGF and IL-6 were elevated. Hemodialysis was entertained,steroids were started, and Siltuximab was ordered but could not be obtained at the institution. Tocilizumab was started instead. The patient had a dramatic improvement after the treatment initiation and a week later the patient was discharged home. The patient's renal function was back to baseline and he was asymptomatic during the one-month follow-up visit.
Discussion
CD is a rare lymphoproliferative disease and renal involvement in CD is even rarer. There is still no consensus on how to manage CD patients with renal involvement. Here, we present an iMCD-NOS patient with renal involvement. Given the different therapeutic approaches, a final diagnosis of CD subgroups is important. The diagnosis of TAFRO, a rare clinicopathologic variant of idiopathic multicentric Castleman disease characterized by thrombocytopenia, anasarca, myelofibrosis, renal dysfunction, and organomegaly was under consideration but discarded due to the patient lacking thrombocytopenia and it was decided to classify the patient under the not otherwise specified category.
Renal complications from CD are uncommon and can include a variety of histopathological findings on biopsy, including thrombotic microangiopathy and membranoproliferative glomerulonephritis, among others.Our patient had thrombotic microangiopathy based on the renal biopsy findings. The pathophysiology of CD is not well understood. It is well known that IL-6 plays a role as increased levels of this proinflammatory marker have been associated with disease activity. Interestingly, increased serum levels of IL-6 and other cytokines have been observed in patients with several diseases characterized by renal thrombotic microangiopathy. Therefore, we hypothesize that increased IL-6 levels in patients with CD create an unhealthy environment for the renal microarchitecture that may result in thrombotic microangiopathy. As demonstrated by our case, improvement of renal function can be achieved after treating this pro-inflammatory state with systemic therapy.
Disclosures
No relevant conflicts of interest to declare.
Author notes
Asterisk with author names denotes non-ASH members.
